Een wit bobbeltje op het tandvlees geeft aan dat er een ontsteking zit aan de wortelpunt van de tand of van het tandvlees. Als je dit aantreft is het zinvol om een afspraak te maken bij de tandarts.
Tijdens deze afspraak zal er door de tandarts een röntgenfoto worden gemaakt. Door het maken van een kleine röntgenfoto kan achterhaalt worden waar de ontsteking vandaan komt. Als we te maken hebben met een tand of kies van het melkgebit met een bobbeltje dan is de kans groot dat deze tand verloren is. Als we te maken hebben met een tand of kies in het blijvende gebit dan zal in veel gevallen een wortelkanaalbehandeling gestart worden.

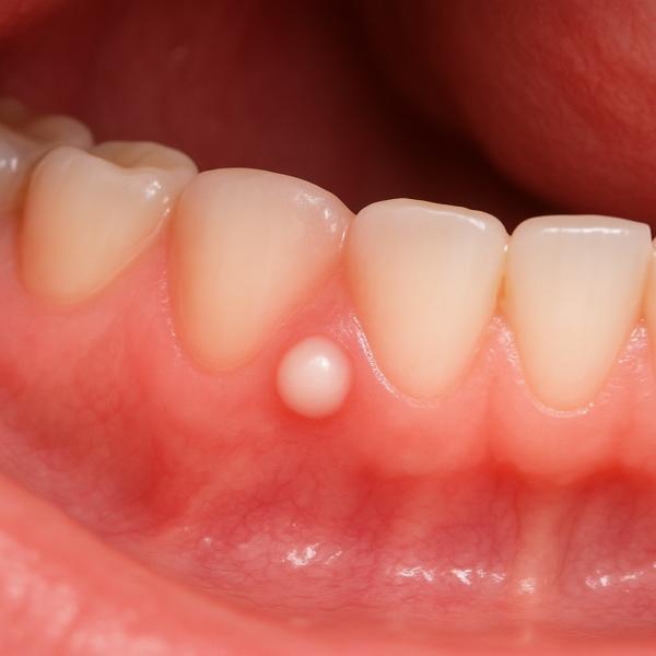
Hiernaast zie je een voorbeeld hoe het witte bobbeltje/ bultje eruit kan zien in jouw mond.

Heb jij een wit bobbeltje?
Plan direct je afspraak
Jacqueline
Receptioniste
|
| 0544 371260 |
|
| 0689971209 |
|
| balie@verhagenmondzorg.nl |
Lees hieronder meer veelgestelde vragen
Mondhygiëne
Waarom bloed mijn tandvlees?
Het tandvlees bloed omdat het ontstoken is.
Ontstoken tandvlees ontstaat door een laagje tandplak dat op de overgang van de tand naar het tandvlees blijft zitten. Het laagje tandplak bestaat uit speeksel, etensresten en bacteriën die in de mond voorkomen. Als het laagje tandplak te lang aanwezig blijft gaat het tandvlees reageren met een tandvleesontsteking. Een van de kenmerken van ontstoken tandvlees is bloeding bij aanraken.
Er zit een wit bobbeltje op mijn tandvlees
Een wit bobbeltje op het tandvlees geeft aan dat er een ontsteking zit aan de wortelpunt van de tand of van het tandvlees. Als je dit aantreft is het zinvol om een afspraak te maken bij de tandarts.
Tijdens deze afspraak zal er door de tandarts een röntgenfoto worden gemaakt. Door het maken van een kleine röntgenfoto kan achterhaalt worden waar de ontsteking vandaan komt. Als we te maken hebben met een tand of kies van het melkgebit met een bobbeltje dan is de kans groot dat deze tand verloren is. Als we te maken hebben met een tand of kies in het blijvende gebit dan zal in veel gevallen een wortelkanaalbehandeling gestart worden.
Mijn tandvlees is rood en gevoelig.
Rood en gevoelig tandvlees betekend meestal dat het tandvlees ontstoken is. Dit ontstaat door langdurige aanwezigheid van tandplak.
Tandplak is een laagje op de tanden dat ontstaat door speeksel, etensresten en bacteriën die op jouw tanden en kiezen blijven zitten. Het laagje is met poetsen en reinigen tussen de tanden en kiezen goed te verwijderen. Als het reinigen door jezelf goed wordt uitgevoerd kan het tandvlees binnen een aantal dagen weer gezond worden. Vraag jouw mondhygiëniste/preventiemedewerkster wat voor jou de beste manier is om het te reinigen.
Hoe krijg ik mijn tandvlees weer gezond?
Het tandvlees kan weer gezond worden door het op de juiste manier te poetsen en door het goed reinigen tussen de tanden en kiezen.
Een mondhygiëniste of een preventie assistent kan je helpen met het juiste advies. Daarnaast is het nodig om minstens 1 keer per jaar een gebitsreiniging uit te laten voeren door de mondhygiëniste of preventiemedewerker.
Wat zijn gevoelige tandhalzen?
Gevoelige tandhalzen kunnen ontstaan door te hard poetsen, en door het terugtrekken van het tandvlees bij tandvleesontstekingen. Als het tandvlees zich terug trekt komt de hals en de wortel van de tand bloot te liggen. Daar zit geen glazuur op waardoor de tand of kies gevoelig wordt voor warm, koud, zoet en zuur.
Zodra het tandvlees zich terugtrekt, komt dus een stukje van de tand zonder glazuur bloot te liggen. Dit poreuze materiaal is tandbeen. In tandbeen zitten kanaaltjes die verbonden zijn met de zenuwholte binnenin de tand of kies. Als het tandvlees de kanaaltjes afsluit, merk je daar niets van. Is het tandvlees weg, dan komt door warme, koude, zoete en/of zure prikkels het vocht in die kanaaltjes in beweging. Die beweging irriteert de zenuwen en veroorzaakt zo de pijn.
Wat is gevoelig tandvlees?
Gevoelig tandvlees kan ontstaan door te hard poetsen maar kan ook een signaal zijn van een tandvleesontsteking.
Bij gevoelig tandvlees dat veroorzaakt is door te hard poetsen, kun je het beste advies vragen aan je tandarts en/of mondhygiëniste hoe je dit kunt voorkomen. De adviezen die je krijgt gaan meestal over het type tandenborstel die je gebruikt en de manier of volgorde van poetsen. Ook kunnen ze signaleren of er een tandvleesontsteking aanwezig is.
Wat doet een preventiemedewerkster?
Een preventiemedewerkster behandeld patiënten die al gescreend zijn op tandvleesproblemen of het ontstaan van gaatjes. De patiënten die door een preventiemedewerkster behandeld worden, hebben geen grote tandvleesproblemen. De behandeling zal o.a. bestaan uit het controleren van de conditie van het tandvlees, het aanpassen of geven van aanvullende adviezen rondom het schoonhouden van het gebit en de gebitsreiniging; tandsteen verwijderen en het polijsten van het gebit.
Hoe kan ik mijn mondhygïene verbeteren?
De mondhygiëne kan verbeterd worden door op de juiste manier je gebit te reinigen. Dit reinigen kan bestaan uit de juiste manier van poetsen, het reinigen tussen de tanden en kiezen en de juiste voeding. Vanaf de leeftijd twee jaar geldt minimaal 2 keer per dag poetsen. Voor (jong) volwassenen wordt geadviseerd om naast het poetsen 1 keer per dag tussen de tanden en kiezen reinigen.
Waarom moet ik naar de mondhygiëniste/preventiemedewerkster?
Het is zinvol om regelmatig een bezoek te brengen aan de mondhygiëniste/preventiemedewerkster voor het behoud van jouw gebit en omliggende weefsels. De mondhygiëniste kan jou tips geven over het onderhoud en waarnodig helpen om problemen die zijn ontstaan te reduceren.
Waarom ruik ik uit mijn mond?
Een slechte adem kan verschillende oorzaken hebben. Een tijdelijke slechte adem kan veroorzaakt worden door bijvoorbeeld het gebruik van voedingsmiddelen, alcoholgebruik of roken. Deze geur kun je voorkomen of maskeren door je tanden te poetsen of het gebruik van kauwgom. Iemand met halitose ruikt altijd uit zijn mond, deze geur is niet te maskeren. De meest voorkomende oorzaken van halitose zijn onstoken tandvlees, ontstekingen aan tanden of kiezen, tongbeslag of problemen met de afsluiting van de maag. Halitose komt bij ongeveer één op de zeven mensen voor en gaat niet vanzelf voorbij, maar is in de meeste gevallen wel te verhelpen. Om halitose vast te kunnen stellen, is een diagnose van de tandarts of mondhygiëniste/preventiemedewerster nodig. Wil je wat aan je slechte adem doen of wil je laten onderzoeken of je halitose hebt? Maak dan een afspraak met één van onze mondhygiëniste/preventiemedewerkster!
Moet ik flossen?
Het is belangrijk om elke dag minimaal 1 keer te reinigen tussen de tanden en kiezen. Afhankelijk van de ruimte tussen de tanden en kiezen kan dit met floss (tandzijde), stokers of ragers, monddouche. Wij adviseren om ragers te gebruiken, deze zijn erg gebruiksvriendelijk en goed te gebruiken bij zowel de voortanden als de kiezen. Het gebruik van tandzijde vind vooral plaats bij de voortanden. Voor passend advies vraag je mondhygiëniste of preventiemedewerkster welke middelen het beste passen bij jouw mondhygiëne.
Hoe vaak moet ik flossen/raggen?
Het is belangrijk om minimaal 1 keer per dag te reinigen tussen tanden en kiezen. Dit kan door het gebruik van raggers of door het flossen.
Moet ik mondwater gebruiken? En hoe vaak?
Het gebruik van mondwater is niet noodzakelijk. Het kan gebruikt worden als aanvulling naast het poetsen en reinigen tussen de tanden en kiezen. Het gebruik van mondwater heeft vooral invloed op de frisse smaak, het vervangt niet het poetsen en/of reinigen tussen de tanden. In sommige gevallen zal er een mondwater geadviseerd worden o.a. bij gaatjes gevoelige patiënten of patiënten met veel tandvleesproblemen, dit moet gezien worden als een aanvulling op de adviezen die al gegeven zijn en niet ter vervanging van.
Wat is beter flossen, raggen of stokeren?
Zowel floss (tandzijde), stokers als de ragers worden geadviseerd voor het reinigen tussen de tanden en kiezen. Het is afhankelijk van de plaats in de mond en de ruimte die er is of je het beste de stoker, floss of ragers kunt gebruiken. Vraag hiervoor advies aan de mondhygiëniste/preventiemedewerkster.
Wat is de invloed van dranken op mijn gebit?
In frisdrank, vruchtensap, yoghurtdrank en wijn zitten naast suikers, die gaatjes veroorzaken, ook zuren. Het zuur proef je nauwelijks omdat de suiker de zure smaak overheerst. Maar de zuren zijn net zo slecht voor je tanden als suikers. De zuren tasten namelijk jouw tandglazuur aan, waardoor jouw gebit slijt. Deze vorm van slijtage heet tanderosie. Tanderosie is een sluipend proces dat niet gemakkelijk te herstellen is en wanneer tanderosie niet bestreden wordt, kunnen zuren het tandglazuur en vervolgens zelf het blootliggende tandbeen oplossen. Het gaat niet alleen om hoevéél zure producten je eet en drinkt maar ook om de frequentie. Hoe vaker je zure producten consumeert en hoe langer je zure producten in jouw mond houdt, hoe groter de kans op tanderosie is. Ook is de manier waarop je eet en drink van invloed op tanderosie. Dranken die niet schadelijk zijn voor jouw gebit zijn water, koffie en gewone thee zonder suiker.
Hoe moet ik mijn mond schoon houden?
Het schoonhouden van de mond is belangrijk om gaatjes en tandvlees problemen te voorkomen. Dit doe je door minstens 2 keer per dag je tanden te poetsen met een elektrische tandenborstel en minimaal 1 keer per dag je tanden en kiezen te reinigen doormiddel van het gebruik van ragers, stokers of flossdraad. Wil je meer advies over het reinigen van je gebit? Maak dan een afspraak met één van onze mondhygiënistes of preventiemedewerksters.
Wat is Tandgaaf?
Tandgaaf is een methode voor kinderen van 0 tot 18 jaar bij de tandarts en mondhygiëniste die gericht is op preventie: het voorkomen van problemen aan het gebit.
Omdat elk gebit anders is zal deze methode voor elk kind anders worden ingericht. Tandgaaf is mondzorg in een andere jas. De mondzorgverlener wordt de begeleider van jouw kind, ook wel zijn of haar coach genoemd. Coaches zijn nodig om gaatjes en ontstoken tandvlees te voorkomen en een gezond gebit te behouden. De coach kijkt specifiek naar wat jouw kind op tandheelkundig gebied nodig heeft. Het programma is bedoeld voor kinderen van alle leeftijden, dus vanaf het eerste bezoek aande tandarts tot het 18e levensjaar. De kosten voor de behandelingen die uitgevoerd worden vallen onder de basisverzekering van de jeugdzorg.
Hoe gaat Tandgaaf in zijn werk?
De coach kijkt hoeveel plak aanwezig is in de mond en welke andere risicofactoren er nog meer zijn. Dit wordt door middel van een puntensysteem bij gehouden en is de basis voor het zorgprogramma.
Bij de Tandgaaf methode wordt bij iedere controle de tandplak (een nauwelijks zichtbaar wit-geel laagje) gekleurd. De mondzorgverlener brengt een vloeistof op de tanden aan die tandplak zichtbaar maakt. Zo kun jij, als ouder, en jouw kind goed zien waar er nog tandplak zit. Ook zal de mondzorgverlener aangeven op welke manier jouw kind het beste kan poetsen. Tevens zal er informatie gegeven worden over eet en drinkgewoontes. Jouw kind krijgt hierdoor meer kennis over zijn of haar mondgezondheid en verbetert de mondhygiëne. Jij, als ouder, ondersteunt en motiveert jouw kind bij het uitoefenen van de dagelijkse mondverzorging.
Soms zal de coach kiezen extra beschermen (sealen) of een fluoridebehandeling geven. Maar meestal zijn die behandelingen niet nodig. De invullingen en uitvoering van de preventiemethode kan binnen een gezin verschillen. Tandgaaf kijkt tenslotte naar ieder individu.
In het begin kan de begeleiding, door de coach, intensiever zijn en op maat. Uiteindelijk zullen jouw kind en jij systematisch kunnen poetsen en zal de begeleiding afnemen. Jouw kind zal op latere leeftijd een gaaf gebit hebben.
Ben je geïnteresseerd in de methode Tandgaaf? Vraag één van onze receptionistes naar de tijden voor deze methode.
Mijn kind wil niet poetsen. Wat kan ik hier aan doen?
Probeer het speels aan te pakken, door het kind bijvoorbeeld zelf een leuke tandenborstel uit te laten zoeken met een lekker smakende tandpasta. Misschien vindt jouw kind een elektrische tandenborstel wel reuze leuk! Veel kinderen zijn heel enthousiast om hier mee te poetsen. Daarnaast kun je proberen om van het poetsen een spelletje te maken. Vertel bijvoorbeeld wat voor beestjes weggepoetst worden: gele, paarse, kleine, grote, die hard rennen. Of zet een muziekje op, zing een liedje of vertel een verhaaltje. Gebruik eventueel een eierwekker of een zandloper om de tijd aan te geven. Daarnaast zijn er ook speciale apps op bijvoorbeeld jouw iPad/tablet of telefoon die jouw kind kunnen helpen met het poetsen. Bij al deze manieren wordt het poetsen op een positieve manier benadrukt en wordt er regelmaat ingebouwd. Naarmate jouw kind gewend raakt dat het regelmatig poetsen van zijn/haar tanden erbij hoort, zal het steeds beter gaan. Blijf dus consequent en blijf volhouden.
Wat is beter elektrisch poetsen of handtandenborstel?
Het is wetenschappelijk bewezen dat elektrisch poetsen doeltreffender is dan handmatig poetsen. Vooral ter hoogte van de tandvleesrand en de ruimte tussen de tanden is het resultaat beter.
Hoe lang moet je poetsen?
De gouden regel is dat je minimaal tweemaal daags 2 minuten je tanden en kiezen moet poetsen. Deze regel geldt voor zowel jong als oud. Dit lijkt misschien lang, maar het is wel de tijd die nodig is om alle tanden en kiezen aan alle kanten goed schoon te maken. Poets ‘s ochtends na het ontbijt en ’s avonds vlak voor het slapen gaan. Tevens raden wij aan om jouw kind dagelijks na te poetsen, zeker totdat ze de leeftijd van 10 jaar hebben bereikt.
Kinderen tot de leeftijd van 10 jaar hebben nog niet de juiste motoriek om zelf hun gebit helemaal goed schoon te poetsen. Dit terwijl goed poetsen in deze periode juist heel belangrijk is omdat de blijvende tanden en kiezen doorbreken. Help kinderen daarom minimaal 1 keer per dag bij het poetsen, door het gebit na te poetsen. Doe dit ondanks dat de wat oudere kinderen misschien wel van mening zijn dat ze het prima zelf kunnen. Kies een moment uit dat het rustig is en wanneer er even de tijd voor is. In de avond voor het slapen gaan verdient wel de voorkeur omdat het gebit dan helemaal schoon is voor de nacht. Kijk zelf wat een prettige houding en een goede positie is bij het napoetsen. Dit kan door voor of achter het kind te gaan staan. Zorg er in ieder geval voor dat er goed licht is. Napoetsen kan heel handig met een elektrische tandenborstel, als een kind dat prettig vindt.
Tot welke leeftijd en hoe vaak moet je napoetsen?
Wij raden aan om jouw kind dagelijks na te poetsen, zeker totdat ze de leeftijd van 10 jaar hebben bereikt. Kinderen tot de leeftijd van 10 jaar hebben nog niet de juiste motoriek om zelf hun gebit helemaal goed schoon te poetsen. Dit terwijl goed poetsen in deze periode juist heel belangrijk is omdat de blijvende tanden en kiezen doorbreken. Help kinderen daarom minimaal 1 keer per dag bij het poetsen, door het gebit na te poetsen. Doe dit ondanks dat de wat oudere kinderen misschien wel van mening zijn dat ze het prima zelf kunnen. Kies een moment uit dat het rustig is en wanneer er even de tijd voor is. In de avond voor het slapen gaan verdient wel de voorkeur omdat het gebit dan helemaal schoon is voor de nacht. Kijk zelf wat een prettige houding en een goede positie is bij het napoetsen. Dit kan door voor of achter het kind te gaan staan. Zorg er in ieder geval voor dat er goed licht is. Napoetsen kan heel handig met een elektrische tandenborstel, als een kind dat prettig vindt.
Waarom moet je 2 minuten poetsen?
2 minuten tanden poetsen lijkt misschien veel, maar het is wel de tijd die nodig is om alle tanden en kiezen aan alle kanten goed schoon te poetsen. Bovendien maakt tandenpoetsen niet alleen het gebit schoon, maar zorgt de fluoride in de tandpasta er voor dat tanden en kiezen sterker worden en beter bestand zijn tegen gaatjes en tanderosie.
Om het gebit goed schoon te maken is een goede poetstechniek belangrijk. Probeer jezelf en jouw kind een vaste volgorde van poetsen aan te leren. Een vaste volgorde van poetsen is belangrijk om er zeker van te zijn dat alle tanden en kiezen goed schoon worden. Door maar een beetje "in het wilde weg" te poetsen worden vaak hele stukken overgeslagen en in de praktijk zijn dit vaak dezelfde tanden en kiezen.
Een goede volgorde van poetsen is volgens de 3 B´s: Buitenkant, Binnenkant en Bovenop.

Wat is fluoride?
Fluoride is een stof die er voor zorgt dat je tanden sterker worden. Fluoride zit onder andere in tandpasta. Als je goed poetst, zorg je ervoor dat je tanden gezond en sterk blijven. Fluoride kan jouw tanden op verschillende manieren beschermen. Bij aanwezigheid van fluoride in de mond zal tijdens een zuuraanval het glazuur minder oplossen en zal tevens het glazuur zich eerder kunnen herstellen.
Waarom is fluoride goed voor je?
Fluoride is een veilige en effectieve manier om gaatjes (caries) te voorkomen. Fluoride maakt het glazuur van tanden namelijk harder en helpt zo om bescherming te bieden tegen bijvoorbeeld zuurstoten. Daarnaast kunnen beginnende gaatjes door goed te poetsen met fluoridetandpasta en door het gebruik van fluoride (aangebracht door de tandarts) herstellen.
Wanneer er bij een kind veel gaatjes of slijtage (tanderosie) ontstaan, kan de tandarts, mondhygiënist of preventiemedewerkster ter preventie aanvullend fluoridegebruik adviseren. Dit advies bestaat bijvoorbeeld uit dagelijks een keer extra poetsen met fluoridetandpasta of spoelen met een mondspoelmiddel dat fluoride bevat. De meeste mondspoelmiddelen met fluoride, net als fluoridetandpasta, bevatten geen hoge concentratie fluoride. Bij het dragen van een beugel wordt meestal ook extra fluoride geadviseerd, vaak in de vorm van een mondspoelmiddel.
Daarnaast kan een tandarts, mondhygiënist of preventiemedewerkster een fluoridebehandeling met een gel geven of een speciale fluoridelak op tanden en kiezen aanbrengen. De concentratie fluoride hierin is wat hoger. Fluoridelak kan heel precies worden aangebracht op plaatsen waar gaatjes dreigen te ontstaan. De fluoridebehandelingen met gel of fluoridelak worden meestal niet standaard aan alle kinderen gegeven. Vaak voert een tandarts, mondhygiënist of preventiemedewerkster deze behandeling alleen uit als hier aanleiding voor is. Bijvoorbeeld bij een kind met veel (beginnende) gaatjes of als er andere risicofactoren zijn.
Wat is de juiste poetshouding bij het (na)poetsen van kinderen?
Zorg ervoor dat je goed zicht in de mond hebt en dat er voldoende steun is voor het hoofd van je kind als je (na)poetst. Kleine kinderen kun je bijvoorbeeld op schoot nemen of liggend op het aankleedkussen of bed poetsen. Is je kind wat ouder kun je op twee manieren (na)poetsen.
- Ga schuin achter je kind staan. Als je met je hand de kin ondersteunt, rust het hoofd tegen je bovenlichaam. Buig een beetje over je kind heen, zodat je goed ziet waar je poetst.
- Ga voor je kind staan en laat het met het hoofd bijvoorbeeld tegen de muur rusten. Ondersteun de kin met je ene hand, terwijl je met de andere poetst. Op deze manier kun je goed zien waar je poetst.
Probeer uit welke poetshouding voor jou en jouw kind het prettigste is.
Wat doet een mondhygiëniste?
Bij een bezoek aan de mondhygiëniste of preventiemedewerkster wordt de conditie van het tandvlees beoordeeld en gekeken, in samenwerking met de tandarts, of er gaatjes aanwezig zijn of ontstaan. Afhankelijk van deze controles wordt er advies gegeven over het voorkomen van deze problemen.
Bij tandvleesproblemen wordt er veel aandacht besteed aan het geven van voorlichting. Daarnaast wordt er een traject uitgezet voor het behandelen van het tandvlees probleem. Meestal bestaat dit uit een gebitsreiniging, lees tandsteen en plak verwijderen en polijsten. Afhankelijk van de screening van het tandvlees probleem wordt beoordeeld of de behandeling door de mondhygiëniste of paro- preventiemedewerkster kan worden uitgevoerd. Bij problemen met het ontstaan van gaatjes worden er adviezen gegeven over het eten en drinken, de manier van poetsen en eventueel aanvullende fluoride adviezen. Ook bij deze patiënten wordt het gebit gereinigd, gepolijst en eventueel aanvullend fluoride gegeven
Verschil tussen mondhygiëniste en preventiemedewerkster?
De patiënten met grote tandvleesproblemen worden behandeld door een mondhygiëniste of paro-preventiemedewerkster. Zij gaan dieper op de problematiek in en kunnen indien nodig met een laser behandelen. Patiënten met geen grote tandvleesproblemen worden behandeld door een preventiemedewerkster.